+6019-7892070
info@aobdental.com.my
Home
About Us
Our Team
Services
Gallery
Scaling + Airflow (Oral Spa)
Teeth Restoration
Reviews
Contact Us
home
>
Gallery
>
Teeth Restoration
Back to Listing
« prev
next »
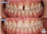
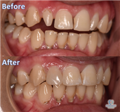
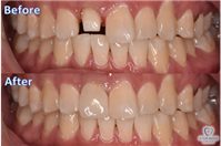
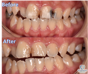
Teeth Restoration
Photo